★審美歯科
審美歯科とは
口元はその人の印象を大きく左右します。輝く白い歯はあなたの印象をよくし、自分自身も笑顔に自信がもてます。
審美歯科とは、黄ばんだ歯を削らずに白くしたり、金属やレジンの詰め物や被せ物の代わりにセラミック等の素材を用いて、 口元を美しくする治療などを指します。
また美容歯科とは違い、歯の機能回復を重点に行います。
セラミック治療
虫歯治療など、歯を削った時等には詰め物や被せ物をしますが、保険がきくのはレジン(プラスチック)や金属といった素材になります。機能としては問題ありませんが、大きく口を開けたときにどうしてもギラギラと見えてしまいます。
そこで金属やレジンの代わりに、自然歯に近い色調や透明感をもったセラミックやハイブリッドとよばれる素材を使用します。その効果は驚くほど自然で、本物の歯に近い仕上がりになります。
また、セラミックは陶器ですので、強度も高く、金属アレルギーもありませんので、安心して装着することができます。
![]()
- 虫歯治療の際に、天然の歯のような色調の材料で治したい。
- 過去の治療物がギラギラとしているので、なんとかしたい。
- 歯を白くしたいが、ホワイトニングが適応しない症例。
- 短期間で歯並びを美しくしたい。歯と歯の隙間をなくしたい。
セラミック治療の種類
インレー
インレーとは虫歯治療等で歯を削った後に 歯に被せる詰め物のことです。
このインレーをセラミックやハイブリッドと呼ばれる素材にすることで、自然の歯のような美しさを取り戻すことができます。
クラウン
クラウンとは歯を削る部分が多くインレーではカバーできない場合等に、使用する被せ物のことです。これをセラミックやハイブリッドと呼ばれる素材にすることで、自然の歯のような美しさを取り戻すことができます。
またセラミッククラウンは、短期間で歯並びを良くしたい方にも最適です。元の歯を削りセラミッククラウンを被せることにより、天然の歯を矯正するよりも簡単に歯並びを美しくできます。
ラミネートベニヤ
ラミネートベニヤとは、歯の表面を薄く削り、シェルと呼ばれるセラミックの薄片を特殊な接着剤で貼り付けることをいいます。ホワイトニングでは白くできない場合や、前歯のすき間が気になる方などに適しています。
また、クラウンで歯並びを直すことができるように、このラミネートベニヤでもある程度の歯並びをきれいに見せることが出来ます。
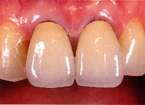
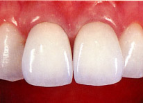
セラミック治療の前後

治療前
セラミック治療後
前歯全体をホワイトニングした後、
前歯2本をオールセラミックスで治療





